Expertos en tomografía volumétrica
Ofrecemos las mejores imágenes del mercado ya que contamos con lo ultimo en tecnología para poder ofrecerte los mejores servicio de radiología dental Digital y estudios computarizados:
Tomografía Volumétrica.
Es una tecnología para producir imágenes tridimensionales (3D) de sus dientes, tejidos blandos, trayectoria de los nervios y huesos en una sola exploración, donde nos muestra imágenes en diferentes cortes o vistas, es decir no veremos en un plano fijo sino en varios planos la imagen y con ayuda de un software tenemos acceso al historial del paciente y a la comparación directa de imágenes en 2D y 3D que se puede instalar en cada clínica.
- Zona Tres Dientes: Son imágenes en tres planos en una única imagen permitiendo al profesional una visión tridimensional en una ventana de 5x5.5 ö 4x4.4 en alta calidad.
- Maxilar Superior/Inferior: Para esta toma se utiliza una ventana tridimensional de 8x8 que nos permite ver todo el maxilar superior y/o inferior.
- ATM: Se toma para visualizar detalladamente y determinar inflaciones, dolores y deformidades de la Articulación Temporomandibular tridimensionalmente con más visualización y exactitud.
- Senos Maxilares: Es una imagen tridimensional detallada de los espacios en el interior de la cara.
- Senos Paranasales: Es una Imagen detallada tridimensional del interior de los senos paranasales.
- Dientes Incluidos: Es una imagen tridimensional detallada que se utiliza para un diagnóstico preciso y una buena planificación en tratamiento de un diente impactado.
- Terceros Molares: Es una imagen tridimensional detallada que sirve para comprobar su relación con el nervio dental inferior y calcular el mejor abordaje posible para la extracción.
Intraorales
ofrecemos RX a través de pequeñas placas radiográficas, en la parte interna de la boca, las cuales se presionan a través de nuestros equipos de RX externo, logrando una imagen digital, facilitando el proceso, haciéndolo mucho más eficiente .
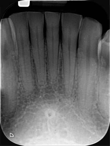
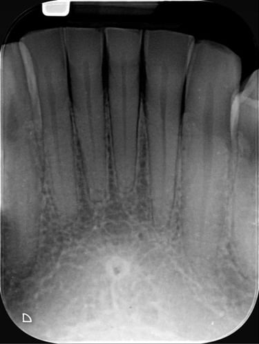
- Periapical: Se utilizan para explorar todo el diente (corona y raíz y el hueso de soporte).
- Periapical Milimetrada: Se utiliza para tratamiento de endodoncia con una malla milimetrada para poder medir con más exactitud.
- Periapical Completo: Se toma radiografía en varias placas de todos los dientes seriados de maxilar superior e inferior para su análisis.
- Periapical Coronal: Se utiliza para examinar en una sola película las coronal de los dientes Superiores e Inferiores.
- Coronal Completo: Se utiliza para examinar en varias películas las coronas de todos los dientes del maxilar Superior e Inferior.
RX DIGITAL EXTRAORAL Ofrecemos una amplia gama de servicios en el área de las radiografías, está línea tenemos una serie de sublineas que se adaptan a las necesidades de cada tratamiento y requerimiento.
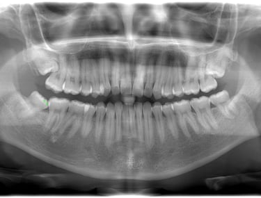
- Panorámica: Es una toma de la boca entera incluyendo dientes mandíbulas Inferior y Superior, estructuras y tejidos
- Perfil: Se emplea para tratamientos de ortodoncia, para evaluar crecimiento facial y en cirugía para registro antes y despues del tratamiento.
- Postero Anterior: Para determinar cambios progresivos traumatismos y anomalías del desarrollo. .
- Senos Paranasales: Para identificar síntomas de sinusitis, desviación del tabique nasal.
- Panóramica Senos Maxilares: Son importantes para el odontólogo debido a su ubicación cerca de los dientes. Identifica raíces desplazadas o cuerpos extraños dentro del seno maxilar.
- ATM: Se toma para visualizar y determinar inflaciones, dolores y deformidades de la Articulación Temporomandibular.
- Carpograma: Evaluar cuan rápido o lentamente esta desarrollándose o madurando el esqueleto de un niño.
- ATM Boca Abierta y Boca Cerrada: Se puede observar la disminución del espacio articular, el aplanamiento y esclerosis de las superficies articulares y el recorrido de los cóndilos
Fotografía Clínica Digital.
La fotografÍa dental es una herramienta útil para el profesional, sirve para comunicarse con el laboratorio y/o para documentar su trabajo. Pueden ser de dos tipos fotografía intraoral y extraoral que también permite al profesional tener un registro de su paciente.
Diagnósticos.
- Cefalometría: Es una herramienta que nos ha servido como auxiliar de diagnóstico y la información ha demostrado ser segura en manos de un profesional. Por tal motivo garantizamos que un diagnostico y/o cefalometría son muy confiables.
- Lectura Tomografíca 3D: Son unas medidas para la evaluación previa a la colocación de un implante o cualquier otro procedimiento que el profesional requiera realizar. Esta lectura es realizada por un profesional capacitado para que el diagnóstico sea preciso y confiable.
Nuestro equipo participa en cursos y talleres para mantenerse actualizado en técnicas radiológicas y atención al paciente, asegurando un servicio de calidad constante.
Capacitacion
Galería
Imágenes que muestran nuestro equipo y tecnología avanzada








